M3Net: A Multi-scale Multi-view Framework for Multi-phase Pancreas Segmentation Based on Cross-phase Non-local Attention

Abstract

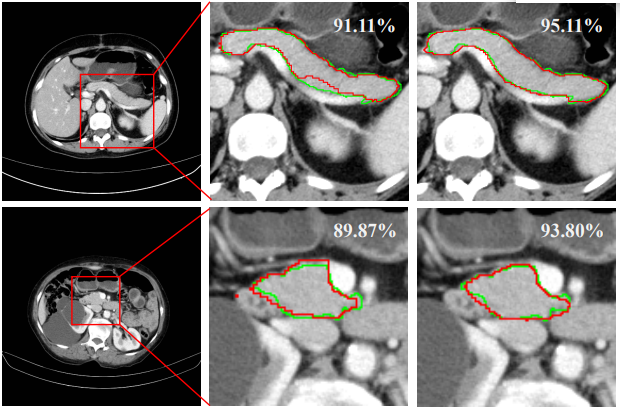
The complementation of arterial and venous phases visual information of CTs can help better distinguish the pancreas from its surrounding structures. However, the exploration of cross-phase contextual information is still under research in computeraided pancreas segmentation. This paper presents M 3 Net, a framework that integrates multi-scale multi-view information for multi-phase pancreas segmentation. The core of M 3 Net is built upon a dual-path network in which individual branches are set up for two phases. Cross-phase interactive connections bridging the two branches are introduced to interleave and integrate dual-phase complementary visual information. Besides, we further devise two types of non-local attention modules to enhance the high-level feature representation across phases. First, we design a location attention module to generate cross-phase reliable feature correlations to suppress the misalignment regions. Second, the depth-wise attention module is used to capture the channel dependencies and then strengthen feature representations. The experiment data consists of 224 internal CTs (106 normal and 118 abnormal) with 1mm slice thickness, and 66 external CTs (29 normal and 37 abnormal) with 5mm slice thickness. We achieve new state-of-the-art performance with average DSC of 91.19% on internal data, and promising result with average DSC of 86.34% on external data.

Publication
In Medical Image Analysis

Related